Catégorie : 🪄 Technologies
-
Des sphères en caoutchouc utilisées pour créer un fluide programmable
Des chercheurs de l'UniversitĂ© Harvard ont dĂ©veloppĂ© un fluide programmable en utilisant des sphères en caoutchouc qui se contractent sous pression. Ce fluide, appelĂ© mĂ©tafluide, prĂ©sente des propriĂ©tĂ©s inhabituelles et peut ĂŞtre utilisĂ© pour construire des robots capables de saisir des objets dĂ©licats sans les Ă©craser. Les chercheurs ont dĂ©couvert que le mĂ©tafluide peut ĂŞtre programmĂ© en ajustant la pression,…
-
Un Français prend les rênes d’ASML en pleine guerre des puces
Christophe Fouquet, un Français, devient le nouveau PDG d'ASML, l'Ă©quipementier europĂ©en du secteur des semi-conducteurs. Il prend les rĂŞnes de l'entreprise dans un contexte de guerre des puces et de tensions gĂ©opolitiques. ASML joue un rĂ´le stratĂ©gique dans la fabrication de machines pour la production de micro-puces utilisĂ©es dans les technologies de pointe. M. Fouquet, qui a Ă©tudiĂ© la physique…
-
VASA: Generating Lifelike Talking Faces of Virtual Characters
VASA is a framework that generates lifelike talking faces of virtual characters with appealing visual affective skills. The premiere model, VASA-1, can produce lip movements synchronized with audio and capture facial nuances and natural head motions. The core innovations include a holistic facial dynamics and head movement generation model and the development of an expressive and disentangled face latent space.…
-
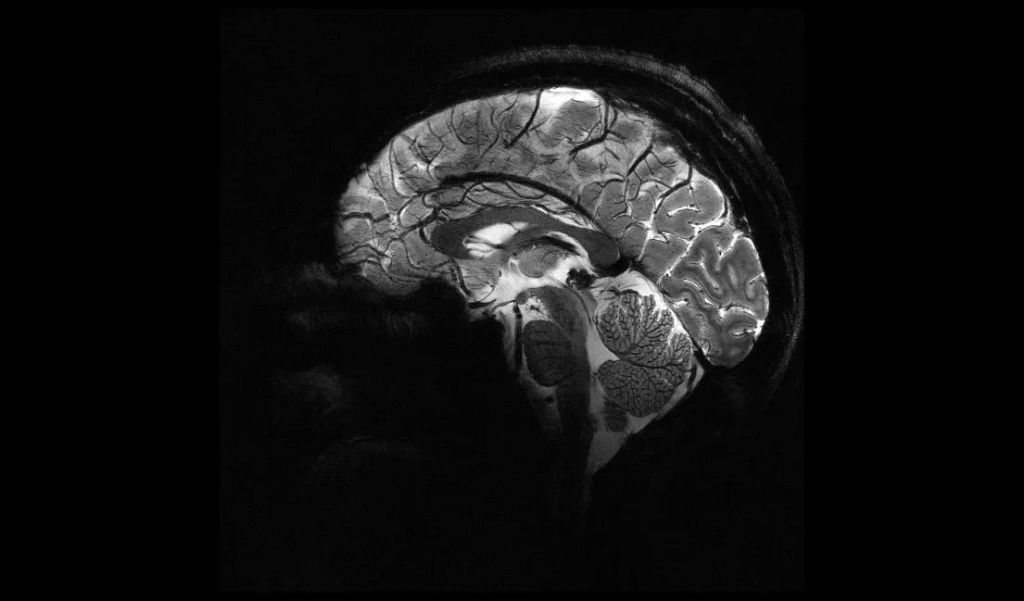
Le cerveau dĂ©voilĂ© comme jamais grâce Ă l’IRM le plus puissant au monde
Le CEA a dĂ©voilĂ© des images du cerveau obtenues avec le scanner IRM Iseult, dotĂ© d'un champ magnĂ©tique de 11,7 teslas, le plus puissant au monde. Ces images offrent une rĂ©solution inĂ©galĂ©e et permettent de dĂ©couvrir de nouveaux dĂ©tails sur l'anatomie, les connexions et l'activitĂ© du cerveau humain. Les applications mĂ©dicales de cette avancĂ©e sont nombreuses, notamment dans le diagnostic…
-
Optics and Display Companies at CES and SPIE AR/VR/MR Conferences in 2024 – Part 2
Dans cet article, nous couvrons les entreprises optiques et d'affichage prĂ©sentĂ©es au CES et aux confĂ©rences SPIE AR/VR/MR en 2024. Nous discutons des entreprises telles que Schott et Lumus, qui ont formĂ© un partenariat stratĂ©gique et ont prĂ©sentĂ© des guides d'ondes rĂ©flĂ©chissants Ă haut rendement. Nous examinons Ă©galement les technologies de Fourier, Morphotonics, Cellid, LetinAR, Tooz, Oorym, Gixel, Meta Research,…
-
Mistral AI propose le nouveau modèle Mixtral 8x22B d’IA gĂ©nĂ©rative en tĂ©lĂ©chargement gratuit de 281 Go
La startup d'IA gĂ©nĂ©rative Mistral AI a publiĂ© son plus rĂ©cent modèle de langage de grande taille, le modèle Mixtral 8x22B, en tant que fichier de 281 Go accessible via un lien magnet publiĂ© sur X, sans aucune explication ni commentaire. Ce modèle, dotĂ© de 22 milliards de paramètres, pourrait surpasser son prĂ©dĂ©cesseur, le modèle Mixtral 8x7B, en termes de…












