
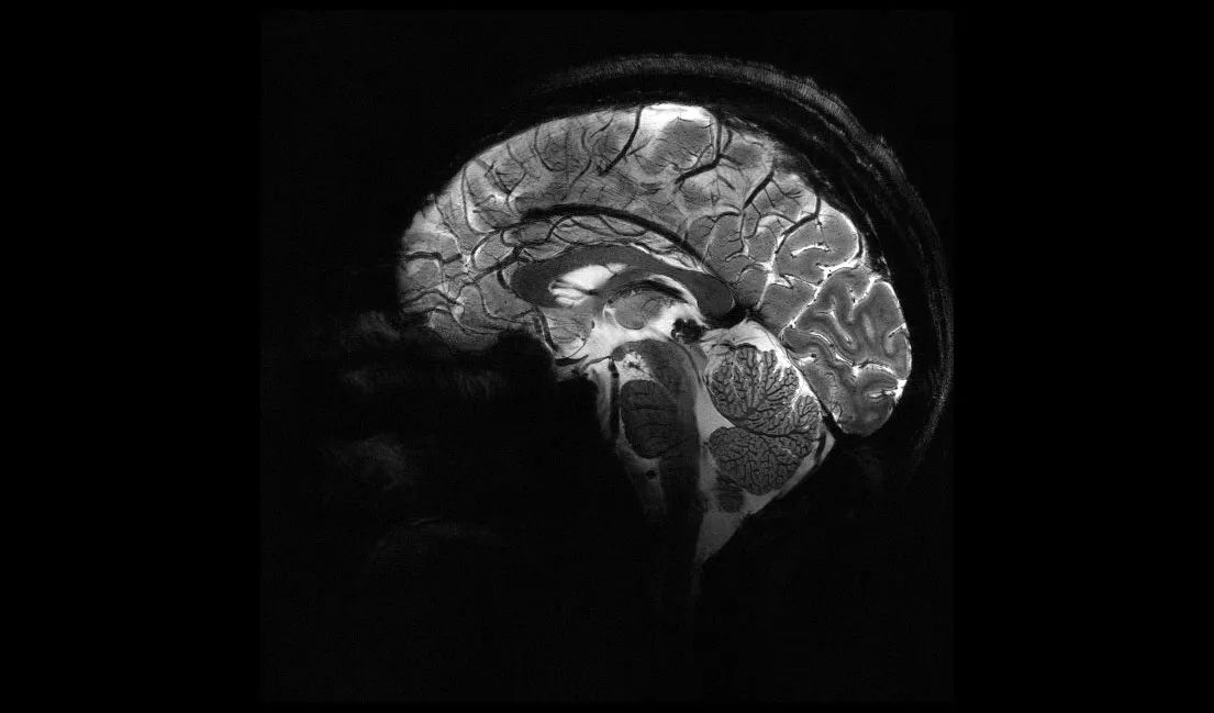
Le CEA a dévoilé des images du cerveau obtenues avec le scanner IRM Iseult, doté d'un champ magnétique de 11,7 teslas, le plus puissant au monde. Ces images offrent une résolution inégalée et permettent de découvrir de nouveaux détails sur l'anatomie, les connexions et l'activité du cerveau humain. Les applications médicales de cette avancée sont nombreuses, notamment dans le diagnostic et la prise en charge des maladies neurodégénératives comme Alzheimer et Parkinson. Le projet Iseult, qui a réuni près de 200 personnes, est le fruit de plus de 20 années de recherche et de développement au sein du CEA.
via Techno-Science : lire l’article source



Laisser un commentaire